健康診断(健診)は病気の早期発見・治療を目的にご自身の健康状態をチェックするために行います。普段の生活では見つかりにくい病気の早期発見・早期治療には、1回だけでなく定期的に健診を受けることが大切です。さまざまな検査を行うことにより自覚していない身体の変化を知ることができますので、年に1回は必ず健診を受けましょう。
令和8年(2026年)4月1日からの健診料金は以下のとおりです。
| 健診種別 | 料金(令和8年4月1日~) |
|---|---|
| 日帰り人間ドック | 39,600 円 |
| 生活習慣病予防健診 | 19,635 円 |
| 事業所健診(35歳未満) | 10,950 円 |
上記以外の健診種別(夜勤者健診等)につきましては、お問い合わせください。
職場や自治体などで受ける健康診断は検査項目が限られていますが、人間ドックは検査項目が多く、自分の身体の状態を詳しく調べることができます。生活習慣の変化に伴い、心臓病、脳卒中、糖尿病をはじめとした生活習慣病にかかる人が増加しています。自覚症状がなくても病気が潜んでいる場合がありますので、人間ドックでご自身の健康状態を確認し日々の生活を振り返り、生活習慣病などの予防に努めましょう。
より健やかで豊かな生活を送るためにも、年に1回の人間ドックをおすすめいたします。
検査項目一覧のダウンロード (PDF:326 KB)
| 検査項目 | 1泊 | 日帰り |
|---|---|---|
| 身長 | - | ● |
| 体重 | - | ● |
| 肥満度 | - | ● |
| 血圧・脈拍 | - | ● |
| 腹囲 | - | ● |
| 検査項目 | 1泊 | 日帰り |
|---|---|---|
| 白血球数 | - | ● |
| 赤血球数 | - | ● |
| 血色素 | - | ● |
| ヘマトクリット | - | ● |
| 血小板数 | - | ● |
| 血液像 | - | ● |
| 血清鉄 | - | ● |
| 血沈 | - |
| 検査項目 | 1泊 | 日帰り |
|---|---|---|
| CRP | - | ● |
| リウマチ因子 | - | |
| B型肝炎抗原 | - | ● |
| C型肝炎抗体 | - | ● |
| 梅毒反応(初回のみ) | - | ● |
| 血液型(初回のみ) | - | ● |
| 検査項目 | 1泊 | 日帰り |
|---|---|---|
| 食前血糖 | - | ● |
| ブドウ糖負荷試 | - | |
| ヘモグロビンA1c | - | ● |
| 検査項目 | 1泊 | 日帰り |
|---|---|---|
| 比重 | - | ● |
| pH | - | ● |
| 蛋白 | - | ● |
| 尿糖 | - | ● |
| 潜血反応 | - | ● |
| ウロビリノーゲン | - | ● |
| 沈渣 | - | ● |
| 検査項目 | 1泊 | 日帰り |
|---|---|---|
| 総コレステロール | - | ● |
| HDLコレステロール | - | ● |
| LDLコレステロール | - | ● |
| Non-HDLコレステロール | - | ● |
| 中性脂肪 | - | ● |
| 検査項目 | 1泊 | 日帰り |
|---|---|---|
| 総蛋白 | - | ● |
| アルブミン | - | ● |
| AST(GOT) | - | ● |
| ALT(GPT) | - | ● |
| LDH | - | ● |
| ALP | - | ● |
| γ-GTP | - | ● |
| 総ビリルビン | - | ● |
| コリンエステラーゼ | - | |
| アミラーゼ | - | ● |
| 検査項目 | 1泊 | 日帰り |
|---|---|---|
| 尿素窒素 | - | ● |
| クレアチニン | - | ● |
| eGFR | - | ● |
| 検査項目 | 1泊 | 日帰り |
|---|---|---|
| 尿酸 | - | ● |
| ナトリウム | - | |
| カリウム | - | |
| クロール | - | |
| カルシウム | - | |
| リン | - |
| 検査項目 | 1泊 | 日帰り |
|---|---|---|
| 潜血反応(2日法) | - | ● |
| 検査項目 | 1泊 | 日帰り |
|---|---|---|
| 肺機能検査 | - | ● |
| 胸部レントゲン | - | ● |
| 心電図 | - | ● |
| 負荷心電図 | - | |
| 胃カメラ(胃透視) | - | ● |
| 動脈硬化測定 | - | |
| 腹部超音波 | - | ● |
| 聴力 | - | ● |
| 検査項目 | 1泊 | 日帰り |
|---|---|---|
| 視力 | - | ● |
| 眼底 | - | ● |
| 眼圧 | - | ● |
| 検査項目 | 1泊 | 日帰り |
|---|---|---|
| 内科診察 | - | ● |
ドックの当日に追加することもできます。 (睡眠時無呼吸検査・肺CT検査・喀痰細胞診検査・負荷心電図は1週間前までに予約が必要です。)
オプション検査一覧表のダウンロード (PDF:322 KB)
| 検査種類 | 内容 | 性別 | 料金 |
|---|---|---|---|
| 睡眠時無呼吸検査 (1週間前要予約) | 睡眠中の呼吸の状態、血液中の酸素濃度などを簡易なモニターを装着し測定します。 | 男 女 | (1泊ドック) 3,120円 (日帰りドック) 5,520円 |
| 肺CT検査 (1週間前要予約) | CTスキャンで肺がんの早期発見を目的に行います。タバコを吸う方や、受動喫煙が気になる方は年1回。タバコを吸わない方でも3年に1回の検査をおすすめします。 | 男 女 | (ドック) 7,700円 (健診) 9,900円 |
| 喀痰細胞診検査(3回法) (1週間前要予約) | 痰の細胞を顕微鏡で調べ、肺がんや肺疾患の検査をします。 | 男 女 | 2,620円 |
| 動脈硬化測定 | 血管のつまり具合・弾力性を数値化し動脈硬化の評価をする検査です。 | 男 女 | 3,160円 |
| 頸動脈超音波検査 | 首の血管のつまり具合や動脈硬化の程度を調べます。 | 男 女 | 3,850円 |
| 腹部超音波検査 | 腎臓・肝臓・膵臓・脾臓・胆嚢や腹部血管の異常を調べます。(結石や腫瘍) | 男 女 | 4,480円 |
| 甲状腺超音波検査 | 甲状腺の大きさや、腫瘍の有無を調べます。 | 男 女 | 3,850円 |
| ピロリ菌・胃萎縮度検査 | ピロリ感染の有無と胃炎の有無を調べる検査を組み合わせて胃がんになりやすいか否か危険度を診断します。 | 男 女 | 4,190円 |
| 負荷心電図 (1週間前要予約) | 一定の運動をした後の心臓の働きを調べます。 | 男 女 | 2,950円 |
| 骨密度測定 | 骨の年齢を調べ骨粗しょう症のチェックを行います。 | 男 女 | 3,160円 |
| 尿細胞診検査 | 尿路系のがんや疾患を尿を採取し調べます。血尿が継続して陽性になるに方は特におすすめします。 | 男 女 | 2,090円 |
| 検査種類 | 内容 | 性別 | 料金 |
|---|---|---|---|
| 前立腺検査(PSA) 前 | 前立腺がんの発見に有効な血液検査です。 | 男 | 3,000円 |
| 肝臓検査(AFP) | 肝臓がんの発見に有効な血液検査です。 | 男 女 | 2,760円 |
| 大腸検査(CEA) | 大腸がんの発見に有効な血液検査です。 | 男 女 | 2,740円 |
| 検査種類 | 内容 | 性別 | 料金 |
|---|---|---|---|
| 乳房超音波検査 (40歳未満) | 乳腺・乳房の超音波検査です。 | 女 | 4,280円 |
| マンモグラフィー (40歳以上) | 乳腺・乳房のX線検査です。 | 女 | 4,480円 |
| 検査種類 | 内容 | 性別 | 料金 |
|---|---|---|---|
| 子宮頚部細胞診 (エコー含む) | 子宮頸部がんなどの早期発見を目的に行います。 | 女 | 4,280円 |
| 子宮体部細胞診 (エコー含む) | 子宮体部がんなどの早期発見を目的に行います。 | 女 | 4,280円 |
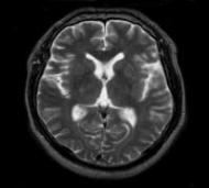
飯山赤十字病院では、地域の皆様の健康管理のお役に立てるよう脳ドックを行っております。脳ドックの内容は脳MRI検査、頸部血管超音波(エコー)検査、認知機能検査、必要に応じて血液検査です。脳MRIでは脳の形態(かたち)を検査し、無症候性脳梗塞(脳の血管が詰まる病気)や微小脳出血などの脳卒中の前ぶれ病変がないかチェックします。また同時に、MRAにより脳内の血管の様子を、頸部血管超音波にて心臓から脳に至る血管の様子を検査し、症状はないものの、血管が狭くなり脳梗塞予備軍となっていないか、脳動脈瘤が生じていないかを調べます。
脳動脈瘤は人口の約1%にみられ、これが破けるとくも膜下出血を生じ、緊急手術が必要となります。くも膜出血は重症な場合には突然死、手術により一命をとりとめたとしても、後遺症を生じ得る病気です。脳動脈瘤が発見された場合、その血縁関係のある方の有病率は4%と高くなります。脳梗塞、脳出血、くも膜下出血などに対する脳卒中治療は日々進歩していますが、日本での死因第4位、しばしば重篤な後遺症を生じ、寝たきり原因の第1位、認知症の原因の3-4割を占めます。症状がない時期に早期発見し、治療を開始します。また同様に、認知症の原因となりうる脳腫瘍や水頭症など器質的疾患(かたちの検査でわかる病気)を早期発見し、早期治療を開始します。
2021年からは脳ドックの各種検査と結果説明を同日中に行う「ワンストップ脳ドック」を始めました。夕方の数時間で脳ドックをすべて完結させ、従来よりもご利用しやすくなりました。
仕事をちょっと早めに切り上げ、脳ドックを受けてみませんか?さらに、当院は2022年4月より日本脳ドック学会認定施設を取得いたしました。
「頭痛が気になる」、「ご家族に脳の病気の方がいる」、「物忘れが気になる」場合には特に脳ドックをお勧めします。皆さまのご利用をお待ちしております。
脳神経外科部長 兒玉 邦彦
| 身体測定・問診 | 身長・体重・BMI・腹囲・血圧 |
|---|---|
| 診察 | 専門医師による診察をします |
| 血液検査・尿検査 | 貧血・肝臓機能・脂質・糖尿病・尿酸値・腎臓機能・尿検査 |
| 心電図 | 心臓の動きを調べます。 |
| 頸動脈超音波検査(※1) | 頸動脈に超音波を照射して血管の動脈硬化をの度合いを調べます。 血管内にプラーク(脂肪の塊)と呼ばれる隆起や狭窄がないかをみて動脈硬化の有無をチェックします。 |
| MRI・MRA検査(磁気共鳴画像診断)(※2) | 脳を輪切りにして様々な断面から脳の状態を見ます。また脳血管を立体的に撮影し、脳動脈瘤など血管の異常の有無を調べます。 |
| 結果説明・保健指導 | 専門医師による結果説明と生活習慣の振り返りをします。 |
※コースによって検査項目は異なります。詳しくはお問い合わせください。
仰向けに寝ている状態で、20分ほどで検査は終わります。痛みなどの苦痛はありません。
ペースメーカー、人工内耳などを装着去れている方、または体内に金属製のものが埋め込まれている方など、MRI 検査ができない場合がありますので、受け付け時に確認させていただきます。
膵臓って怖いなって思ったら、1回は受けてみましょう!
膵癌は症状がない段階で発見することが大切です。
こんな方には特に膵ドックがお勧めです。
□ 両親、兄弟姉妹、子供に膵癌がみつかった。
□ お酒やタバコが大好き。
□ 以前の腹部超音波検査で膵臓がよく見えないと言われた。
生活習慣病予防健診のお申込しみを承っております。
なお、受付期間は 令和8年3月23日(月)から令和9年2月26日(金) までです。
お申し込みはFAXまたは下記EXCELデータをダウンロードの上、メールにてお申し込みください。
健診ご担当者様へのご案内
一般健診 + 付加健診のご請求は会社様請求、または窓口払いで統一させていただきます。(付加健診ご対象の方については、当院の受け入れ状況により制限させていただく場合がございます。ご了承ください。)
生活習慣病予防健診の詳細につきましては協会けんぽ様のパンフレットをご参考ください。
予防健診申し込み (Excel2007~:15 KB)